Before and After
Incredible results and inspiring journey’s – see some of our patients’ before and after photos next time you visit our practice.
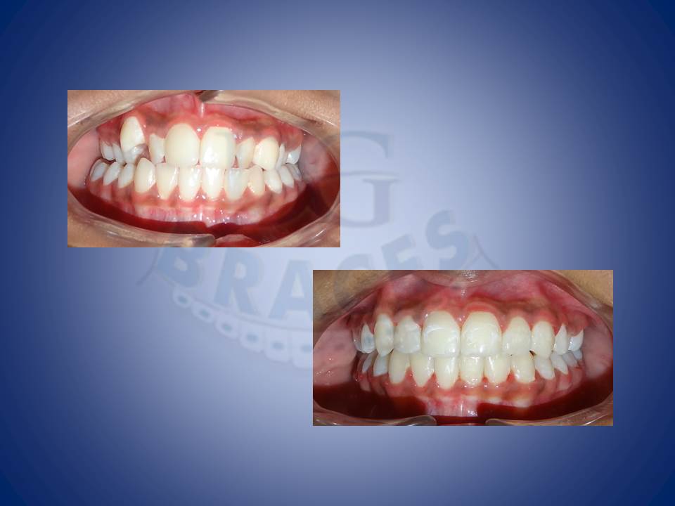
1.Crooked teeth are most often something which patients feel the need to be corrected. This is how we do it!!!






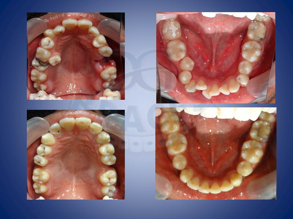
2.Crowding and multiple mutilated teeth are best left treated helping maintainance easy and improving the biting efficiency of patients upto 80%


3.Molar distalisation though difficult can be very well done in cases where excessive spaces are required and no extractions can be afforded. Here a palatal Miniscrews was used and distalisation was done with coil springs.






4.Dental spaces are better corrected witht the help of braces in comparison to artificial means like fillings and crowns.







5.Surgical cases wherein the jaw is back or forward can be well camouflaged with the help of mechanics unique to DG BRaces learnt under Dr. Federico Nadela following COTS protocal.






6.Lower jaw when forward can be corrected with the help of reverse pull head gear when treated at young age of 12-14 in boys and 10-12 yrs in girls. excellent result achieved here!!!








7.cross bites can be well corrected with rapid maxillary expansion using HYRAX for a stable and predictable results.


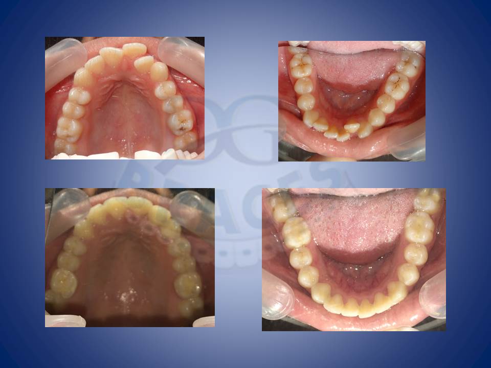
8.Most times patients will come to Dental office with extra teeth or missing teeth and wanting to replace them with artificial teeth. But why artificial when u can get natural results with a short therapy.


9.An extra tooth usually present in between the centre 2 teeth are often lost mid age and patient is left luring to decide if they need to go for artificial teeth or live with the gap. We say “no to both”. COme to us we shall close them!!!




10.Single tooth intrusion can be very well done with the help of mini screws as a preprosthetic correction as in this case

11.Often the jaw or teeth do not meet each other. It can be very much corrected with fixed braces and by means of different mechanics.




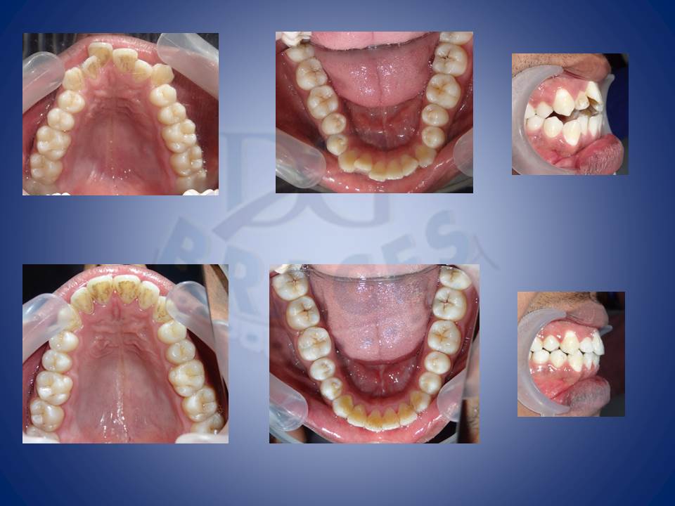
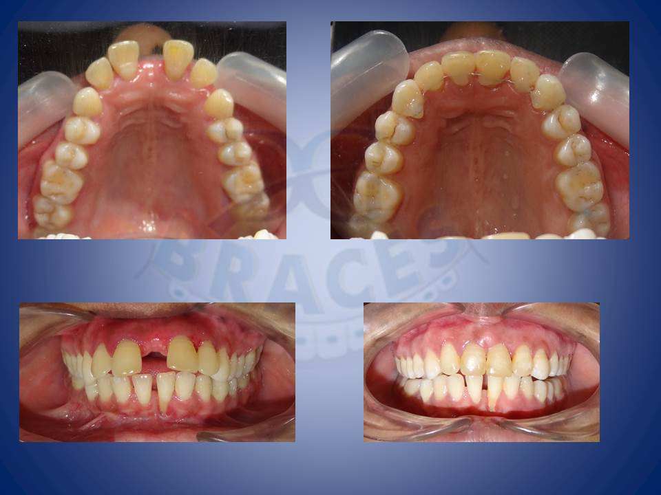
12.Braces can be done at any age such as in this case where she wanted gaps closed with fillings and crowns. We closed the gaps and perio conditioned greatly improved to satisfactory space closure.

13.Braces can be done at any age such as in this case where she wanted gaps closed with fillings and crowns. We closed the gaps and perio conditioned greatly improved to satisfactory space closure.




14.Pre prosthetic orthodontics
Sometimes malformed and malpositioned teeth first needs to be corrected to give proper artificial teeth.This case presented with amelogenesis imperfecta had a life changing revival post braces and veneers


15.Anterior spacing in patient with tongue thrusting
Pathologic migration is common in patient with tongue thrusting as the perio health degrades resulting in huge gaps. “Can be treated at any AGE!!!”



16.Some Happy faces!!!





